Dental Blog - Greater San Antonio
Tips, Facts, And The
Latest In Dentistry

Denture Implants In New Braunfels, TX: Are They Right For You?

Denture implants are a modern way to replace a full arch of missing teeth using dental implants to hold a denture in place. They give far more stability than traditional removable dentures and can improve chewing, speech, and comfort. This post explains what denture implants are, who should consider them, the types of implant dentures available, what the treatment involves, costs and risks, and how to choose a provider so you can decide if denture implants New Braunfels TX are right for you.
What Are Denture Implants?
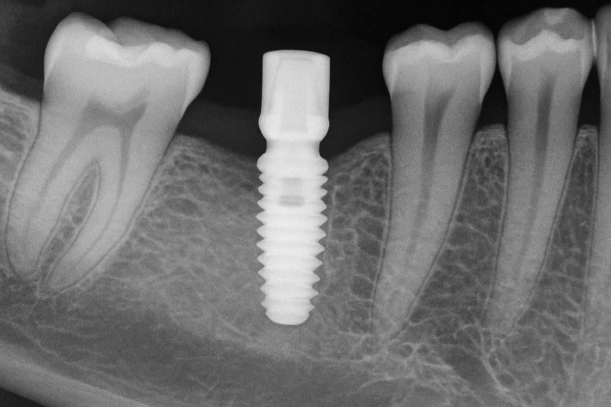
Denture implants use titanium posts placed in the jaw to anchor a denture. There are two main options: implant-retained overdentures that snap onto 2–4 implants but can be removed for cleaning, and implant-supported fixed dentures that attach to 4–8 implants and stay in place like natural teeth. Both types are more stable than traditional removable dentures because they stop the denture from shifting and help preserve jawbone by transmitting chewing forces to the bone.
Who Is A Good Candidate For Denture Implants in New Braunfels, TX?
Oral and bone health
Good candidates usually have healthy gums and enough jawbone to support implants. If bone has resorbed after tooth loss, bone grafting or sinus lifts can rebuild volume so implants can be placed. Your implant dentist will use X-rays or a CBCT scan to evaluate bone density and plan treatment.
Medical and lifestyle factors
Overall health matters. Conditions like uncontrolled diabetes, certain autoimmune disorders, or heavy smoking can raise the risk of implant failure. Many patients with controlled medical issues still qualify, but you should discuss medications and health history with your dentist. Expect a surgical procedure with local or IV sedation and several months of healing for some plans.
Age and tooth loss history
Age by itself is not a disqualifier. Long-term tooth loss can cause more bone loss, which may require extra procedures and affect cost and timing. People missing all teeth who want better function and fewer denture problems are common candidates for denture implants New Braunfels TX.
Types of Denture Implant Solutions
– Implant-retained overdentures: Usually 2–4 implants hold a removable denture. Pros: lower cost, easier hygiene, improved stability. Cons: still removable and may have some movement. – Implant-supported fixed dentures: 4–8 implants support a permanent prosthesis. Pros: feels most like natural teeth, strong chewing ability. Cons: higher cost and more complex. – All-on-4 / All-on-6: Uses 4 or 6 implants strategically placed to support a full-arch fixed bridge, often avoiding the need for bone grafts. Pros: faster, often allows immediate temporary teeth. Cons: not always ideal for people with severe bone loss or those who want a removable option.
What To Expect: The Treatment Process
Consultation and planning
Your dentist will perform an exam, take digital X-rays and often a CBCT scan to map bone and nerves. They’ll review medical history, take impressions or digital scans, and discuss options and costs. Planning determines implant number, placement, and whether grafting is needed.
Surgery and placing the implants
Implant placement is an outpatient surgery. Local anesthesia and sedation options are available. The dentist places the titanium posts into the jaw and covers them to heal, or sometimes attaches an immediate temporary prosthesis if primary stability allows. Healing (osseointegration) can take 3–6 months before final teeth are attached.
Fitting the denture
After healing, impressions or digital scans are taken for the final prosthesis. The denture is fabricated and adjusted for fit, bite, and appearance. For overdentures, attachments are added; for fixed dentures, the final bridge is secured to the implants.
Recovery, Care, And Longevity
Initial recovery is usually a few days to two weeks for swelling and discomfort. Pain is typically managed with over-the-counter or prescribed meds. Long-term care includes daily cleaning around implants, regular dental checkups, and occasional professional cleanings. With proper care, implants can last decades; prosthetic teeth may need replacement or relining over time. Smoking and poor hygiene reduce long-term success.
Costs, Insurance, And Financing For Denture Implants in New Braunfels, TX
Costs vary widely: simple implant-retained overdentures can start in the lower thousands per arch, while full-arch fixed solutions or All-on-4/All-on-6 can range significantly higher depending on materials, number of implants, and grafting. Factors that raise cost include bone grafts, extractions, lab fees, and premium materials. Many dental plans offer partial coverage for extractions or removable dentures but rarely cover implants fully; Medicare usually does not cover implants. Most practices offer financing, third-party plans, or in-house payment options to spread costs.
Risks, Complications, And Alternatives
Risks include infection, implant failure, nerve injury, sinus issues in upper jaws, and prosthetic problems. Most complications are preventable with good planning and care. Alternatives include improved removable dentures (better fit, soft liners), partial dentures, or bridges where feasible. Weigh the benefits of stability and bone preservation against surgical risks and cost.
How To Choose A Provider For Denture Implants in New Braunfels, TX
Look for providers with documented implant experience, clear before-and-after photos, patient reviews, and modern technology like CBCT and intraoral scanners. Ask about surgical training, the number of implants placed annually, warranty/aftercare policies, and whether an on-site lab is used. Transparent pricing and a clear treatment timeline are also important.
About Elite Dental & Implant Center
Elite Dental & Implant Center is a family-owned practice serving Greater San Antonio with a New Braunfels location. Led by Dr. Mohan Jaganathan and Dr. Veena Raja, the team has strong implant training and uses CBCT, digital X-rays, an intraoral camera, and an on-site lab to streamline implant care. Their focus is comprehensive, patient-centered implant and restorative dentistry.
If You’re Considering Denture Implants in New Braunfels, TX
If you’re frustrated with loose dentures, difficulty eating, or mouth pain, schedule a consult to review bone health, medical factors, and your goals. A personalized exam and CBCT scan will show whether denture implants New Braunfels TX are right for you and outline costs and timing. Call to arrange a consultation and get a treatment plan tailored to your needs.





